「非常重要」李现真正亲吻杨紫_杨紫和李现亲吻戏
今天的「科普系列」我们来聊聊“唇部美容”吧,关于唇部干燥、唇纹、唇色暗沉、唇角暗沉等等统一聊一聊。
最近大噶是不是有很多人现男友上头,看着甜甜的恋爱嘤嘤嘤。尤其是剧中几场吻戏,更是让人忍不住露出姨母笑。

戏中甜蜜到牙疼,而看戏外拍摄花絮才发现,这俩人的吻戏是rio搞笑。
两人看吻戏的时候各种尴尬笑场,杨紫直接尴尬到五官变形肢体扭曲发出惨叫,表示用尽全力演得吻戏到底咋才能自然点!
更甚的是剧组套路太深惹,吻戏瞒着其中一方,然后拍另一方被亲的真实反映。
最开始是先对紫妹实施了已回,这段杨紫害羞捂嘴是紫妹的真实反映。

结果故技重施想对李现来一次的时候...李现第一反应是躲了,搞得紫妹生拉着亲上去。

喊卡了以后紫妹说李现你怎么回事!搞得我很面子呀!

李现说,导演你就直接告诉我啊,这招对她有用,对我没用,我以为她冲过来是要打我。

心疼紫妹好几秒并笑出声,这剧组实在太欢乐了。
不过这甜蜜吻戏让三爷想起,紫妹上次大热剧香蜜播出的时候,因为剧组实在太热,加上唇妆非常哑光,被拍到唇纹很多。

之前综艺播出的时候,也是被粉丝心疼提醒说要多喝水多擦润唇膏啊。

我们之前讲过唇部护理,但是多都只说了说缓解唇部干燥,而三爷收到过很多粉丝的疑问,更多想知道怎么改善唇纹和唇色深的难题,所以今天我们聊聊唇纹和唇色吧~
唇部有什么特别
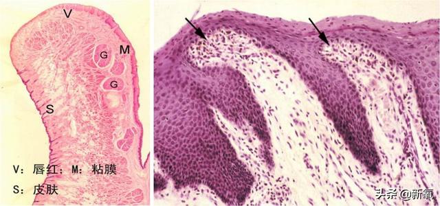
我们先来了解一下唇部构造,唇部可分为外侧的皮肤、内侧的口腔黏膜和二者之间衔接的唇红。
我们常说的唇部不美观,什么干燥啊、暗沉的,指的都是外侧的皮肤部分,这部分结构不同于内侧的黏膜,但也跟我们周围的面部皮肤有差异。

唇部内侧的黏膜部分是完全无角化的,也就是没有角质层,唇红部分从无角化到有角化过度,再往外的唇部皮肤就是有表皮角质层的了。
但唇部皮肤的角质层也并不完整,首先它没有黑色素细胞,也没有汗孔/毛孔;再来虽然有皮脂腺但是没有开口,皮脂也无法排出到唇部皮肤表面。

所以可以说,唇部除了角质层的那点保水功能外,没有自行补充汗液和皮脂的“补水”功能,因此才非常非常容易干燥,大多数人都会有某些时间需要借助外部力量来保持唇部的滋润。
p.s.由于上面说的结构原因,所以健康人唇部应该是看不到任何孔的,颜色也比较均匀,如果你发现你有白色的一粒粒小点点,可以去查下是不是皮脂腺异位症。

唇部的颜色
健康人的唇部应该呈现淡红色或浅血红色,总之就是跟血色加白的效果差不多。
这是因为唇部的表皮层很薄,包含血管的真皮层离表层近,唇部丰富的毛细血管使得血色透过表皮最终呈现出各种红色。

这可能是大多数人想要的颜色,但是绝大多数人都不会这么粉
而且前面我们也说了,唇部位置没有黑色素细胞,也就是说不会另外生成黑色素积聚在唇部,导致唇部颜色加深。
所以每个人最终唇部是啥颜色,基本都是先天决定的,后天影响的因素很小,除非有一些特殊情况。
比如贫血时会导致唇部颜色过于苍白;缺氧时会导致唇部颜色发绀,呈现青紫色;口红涂得比较多,卸妆又经常不彻底,外界色素沉积等。
简而言之就是,唇色深基本都是天生的,基因遗传带来的。

基础知识讲完了,下面三爷来单项说说大噶经常遇到的唇部烦恼~
唇部干燥、脱皮
这个问题我们前面说了,唇部本身的结构就是会导致它保湿不行容易干燥,如果你懒不经常擦唇膏,那干燥的几率就很高。
解决也是不要太简单,涂唇膏就行了,还有就是绝绝对对不要舔!女神舔唇很美,但是这个动作不健康不卫生,一般人做也不咋美观。

舔就是饮鸩止渴,只会加重干燥脱皮,还可能演化成唇炎。
这里三爷也是想额外提醒一句,如果唇部有反复发作的干燥、干裂、脱皮,后期唇部都增厚、变硬了,一定要考虑是不是慢性唇炎了。

这时候最好就医,医生会选择加强保湿和用药一起来改善上述的慢性炎症问题,另外泥萌自己也要注意日常生活是什么导致了唇炎,也不要碰刺激性食物。
慢性炎症靠唇膏是很难解决问题的,它只能缓解炎症导致的干燥等问题,但却不治根,想改善还是得找医生,别不当回事,反反复复的也是会有恶变几率的好伐。
唇色深
前面唇部颜色那里我们讲了,唇部颜色的深浅基本就是天生基因决定的,而且很大程度上还决定于你的血液血管情况。
所以!想要后天逆转唇色是不太现实的。

但是大家也不用那么那么的绝望,还是有一些手段可以小幅度改善的。
如果你是因为血液问题导致的,这个去看病就不用多说了,如果不是病是天生的携氧量不足,多锻炼有助于缓解。
另外多涂涂唇膏是有可能视觉上显得颜色浅一点的,因为唇部保湿力不足嘛,很容易干燥,而唇部还是有一点角质层的,干燥会导致唇部颜色暗沉。
如果保湿工作做得好,唇部角质层比较通透,那颜色也会变得透亮一些。

再来,又是万能激光项目了,现在已经有用激光技术来帮助淡化唇色的了,但是不普及,市场验证的也不多,但从有人的实践效果来看还可以。

激光淡化唇色利用的应该是694nm、755nm或者1064nm这几个黑素吸收较多的波长,694nm和755nm可能更为合适,因为穿透浅,对于唇部这样皮肤薄的位置足够了。
咦?但是我们不是说唇部没有黑色素细胞吗,那怎么还打黑素呢?
确实,唇部是没有黑色素细胞的,也就是说不太可能在唇部因为生成黑色素导致唇色变深,但是三爷猜测还是有一些因素导致了唇部有色素沉积。
后天颜色加深的话,刨除病症导致,可能一是因为长期口红没卸干净导致的外部色素沉积,另外就是炎症问题可能导致了周围的黑色素影响到了唇部。
先天颜色深的话也有人激化后有淡化迹象,三爷也没找到具体的资料,只能猜测说可能有些人先天唇部就有色素沉积问题,娘胎里带出来的?所以激光能击碎部分色素达到淡化作用。
不过三爷这里只是想给大家提供一下新思路,这种方法目前还非常不普遍,医生们估计也怎么实操过,效果不好保证。
而且唇部本身就是比较薄弱的地方,容易出问题,仪器的操作里也不包括这个,所以三爷建议是找靠谱的、经验丰富的医生问下能不能做,千万不要随便找医生就给你打了。
慎重慎重再慎重,唇色深本身只是不美观,别再因为美观问题导致健康问题。
另外,唇部激光也是激光,做完一定要注意唇周的防晒,本来唇部就没有黑色素保护,紫外线更容易造成伤害,激光后更是了。

p.s.唇角暗沉其实就是皮肤暗沉,这个处理方法就按正常皮肤美白一样就行了,用美白产品,也可以医美激光淡化,尽量选择温和一点的产品。
唇纹
唇纹一般都是后天出现的居多,儿童时期大家一般都比较粉嫩嫩的,很少见到哪个孩子唇纹丰富。
长大后容易出现唇纹的因素其实和面部差不多,干燥导致的纹路生成、皮下组织流失导致的结构塌陷形成了唇纹。

是的,随着年龄增长,不光面部的软组织会流失,唇部也一样会流失,大噶观察一下会发现年纪大的人唇部也会越来越薄,这就是软组织流失的明显表现。

我们滴人种不会这么夸张,但还是有唇部变薄趋势的
唇纹的改善,如果是早期,干纹居多还未定型,那么多用润唇产品绝对能缓解,而且由于唇部没有角质层,所以很容易被浸润,基本你擦个2、3天就能有明显的改善。
但如果是晚期,纹路已经定型,比较深比较明显,怎么滋润都不会有改善,就只能靠填充把皮肤重新“撑起来”来改善了。
一般都是用玻尿酸和脂肪来填充,能有效改善唇纹,但是!嘴唇也会相应的变厚,外形上会有一些改变,所以要慎重考虑下你能接受不。

另外就是唇部的填充因为经常要用到唇部,所以寿命可能会比较短,几个月,想保持需要反复填充,考虑下能不能接受噢。
p.s.唇部不建议用假体来填充,一是这里组织比较软,假体一般都看起来不自然;二来会影响唇部相关动作,自己会有异物感,别人也易发现;最后是会影响感觉,跟人亲亲的时候可能你都感受不到咯。

